Teeth whitening is a popular cosmetic procedure, but it’s not without its potential downsides. One of the most common concerns is the appearance of white spots on teeth after whitening. These spots can be a cosmetic annoyance, leaving many people searching for answers. This article delves into the causes, facts, and solutions related to these frustrating white spots. Understanding these aspects will help you navigate the teeth whitening process more effectively and maintain a beautiful, healthy smile.
What Causes White Spots After Teeth Whitening
Several factors contribute to the formation of white spots after teeth whitening. Understanding these causes is crucial for both prevention and treatment. The most common culprits include enamel demineralization and pre-existing conditions affecting the tooth’s surface. These factors interact with the whitening agents, leading to the appearance of these unsightly spots. Proper preparation and aftercare are key to minimizing their occurrence.
Enamel Demineralization
Enamel demineralization occurs when the minerals in your tooth enamel are lost, making the surface more porous. This can happen when the tooth’s surface is exposed to acids or whitening agents. The whitening process itself can sometimes contribute to this, especially if the concentration of the whitening agent is high or the treatment duration is extended. This porous surface then absorbs the whitening agent unevenly, causing white spots.
How Whitening Agents Interact with Enamel

Whitening agents, such as hydrogen peroxide or carbamide peroxide, work by breaking down stain molecules. However, they can also temporarily affect the tooth enamel. These agents penetrate the enamel, and if the enamel is already weakened or porous, the interaction can lead to uneven whitening, thus highlighting existing imperfections or causing new ones like white spots. The higher the concentration of the agent, the greater the potential for this effect, which makes it essential to choose the appropriate strength of whitener for your teeth.
How to Prevent Demineralization
Preventing demineralization involves several strategies. Using a toothpaste that contains fluoride can help remineralize the enamel, strengthening it and making it less susceptible to whitening agents. Limiting the frequency and duration of whitening treatments can also minimize the risk. Furthermore, ensuring the teeth are properly cleaned and free of plaque before whitening reduces the likelihood of uneven penetration of the whitening agent, thus reducing the chance of white spots.
Pre-existing Conditions
Pre-existing conditions can make teeth more prone to white spots after whitening. Conditions that affect enamel formation or the tooth’s structure can result in the uneven absorption of whitening agents. These existing flaws are then accentuated by the whitening process, creating the appearance of white spots. Recognizing and addressing these underlying issues before whitening is essential for a more even and successful outcome.
Fluorosis

Fluorosis, caused by excessive fluoride exposure during tooth development, can lead to white spots or streaks on the enamel. These areas are often more porous and may react differently to whitening agents. The whitening process can make these spots more noticeable as the surrounding enamel whitens, creating a contrast. Individuals with fluorosis should be particularly cautious and consult a dentist before undergoing teeth whitening.
Other Dental Conditions
Other dental conditions, such as hypocalcification or enamel hypoplasia (a condition where enamel does not develop properly), can also lead to white spots. These conditions result in weaker or more porous enamel, which is more susceptible to the effects of whitening agents. These areas may whiten differently, leading to an uneven appearance. It is important to identify and address any underlying dental issues prior to whitening.
Top 7 Facts About White Spots After Whitening
To better understand the complexities of white spots, here are seven key facts. These facts cover various aspects, from their appearance to treatment options, offering a comprehensive overview. Being aware of these facts empowers you to make informed decisions about your teeth whitening journey, ensuring the best possible outcome and a brighter, healthier smile.
Fact 1 White Spots and Whitening

White spots are a common side effect of teeth whitening, often appearing due to enamel demineralization or pre-existing conditions. These spots can appear after both in-office and at-home whitening treatments. Understanding this potential outcome can help you prepare for the process and manage your expectations.
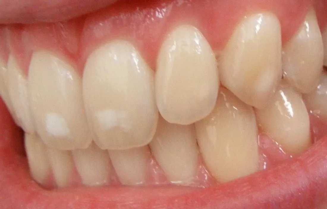
Fact 2 The Appearance of White Spots
White spots appear as opaque, chalky-white areas on the tooth surface. They often contrast with the surrounding, whiter enamel, making them noticeable. The size and number of white spots can vary depending on the cause and severity of the underlying condition or demineralization. In some cases, they may be barely visible, while in others, they can be quite prominent.
Fact 3 Types of Whitening Procedures
Both professional and at-home whitening procedures can lead to white spots. In-office treatments use higher concentrations of whitening agents, potentially increasing the risk. At-home kits, if used improperly or for extended periods, can also contribute to white spots. It is important to follow the instructions and consult with a dentist to minimize these risks.
Fact 4 Sensitivity and White Spots

Teeth sensitivity can sometimes accompany white spots. This is because the enamel has been compromised, exposing the underlying dentin, which contains nerve endings. This can make the teeth more sensitive to temperature changes or pressure. Using a toothpaste designed for sensitive teeth can help alleviate this discomfort.
Fact 5 Treatment Options for White Spots
Several treatment options can help reduce the appearance of white spots. These range from at-home remedies, like remineralizing toothpastes, to professional treatments such as microabrasion and cosmetic dentistry. The best treatment depends on the severity and cause of the white spots.
Fact 6 Professional Treatments
Dentists offer various professional treatments, including microabrasion, which removes a thin layer of enamel to blend the spots, and cosmetic procedures like veneers or bonding, which cover the spots. These options provide more effective and lasting results compared to at-home remedies, especially for severe cases.
Fact 7 Maintaining a Bright Smile

Maintaining a bright smile after whitening involves good oral hygiene and avoiding substances that can stain teeth. Regular brushing, flossing, and dental check-ups are essential. Limiting coffee, tea, and red wine consumption can also prevent future discoloration. Maintaining a healthy lifestyle and consistent oral care routine is key to preserving your bright smile.
Treatments and Solutions for White Spots
Dealing with white spots involves various treatment options that aim to improve the appearance of teeth. Choosing the right approach depends on the severity of the spots and the underlying cause. From simple remedies to professional procedures, there are several effective ways to address this cosmetic issue. Seeking professional advice is the best way to determine the most appropriate treatment plan.
Remineralization
Remineralization involves using products like fluoride toothpaste or prescription-strength fluoride treatments to help restore minerals to the enamel. This process can reduce the appearance of white spots by strengthening the enamel. Remineralization is particularly effective for mild cases of demineralization and can be a great starting point for those experiencing white spots.
Microabrasion

Microabrasion is a professional treatment that removes a thin layer of enamel to blend white spots with the surrounding tooth surface. This procedure uses a mild abrasive agent, and it is very effective for superficial white spots caused by fluorosis or mild demineralization. Microabrasion can significantly improve the uniformity of tooth color without more invasive procedures.
Cosmetic Dentistry
More extensive cosmetic dentistry options include veneers and bonding. Veneers are thin shells that are attached to the front surface of teeth to cover imperfections, including white spots. Bonding involves applying a composite resin to the teeth to conceal the spots. These treatments are suitable for more severe cases or when other treatments are not sufficient. Veneers and bonding can provide long-lasting and aesthetically pleasing results.
Preventing White Spots During Whitening
Preventing white spots involves a proactive approach. Following a dentist’s recommendations and maintaining good oral hygiene are essential steps. The proper approach to whitening treatments and the careful selection of products can significantly reduce the risk. Being mindful of these factors helps to ensure a successful whitening experience with minimal side effects.
Consult Your Dentist
Consulting with your dentist before starting any teeth whitening procedure is crucial. Your dentist can assess your oral health, identify potential issues, and recommend the best course of action. They can also advise on the type of whitening treatment that is most appropriate for your teeth and help you understand the potential risks, including white spots. Professional guidance will ensure the safest and most effective approach to achieving your desired results.
Proper Oral Hygiene
Maintaining excellent oral hygiene is vital. Brushing your teeth at least twice a day with fluoride toothpaste, flossing daily, and using an antiseptic mouthwash helps to remove plaque and bacteria, which can contribute to uneven whitening. Regular dental check-ups and cleanings can also prevent and address any oral health issues that could lead to white spots. A consistent oral care routine enhances the effectiveness of whitening and minimizes the risk of adverse effects.
Choosing the Right Whitening Method
The whitening method you choose can impact the likelihood of white spots. Over-the-counter whitening products vary in strength, and some can be harsh if used improperly. Consulting with your dentist about professional whitening options, which may use lower concentrations of whitening agents, can be beneficial. Following the instructions for any whitening product is critical to avoid overuse and ensure even results. Choosing a method suitable for your individual needs and dental condition is vital.
In conclusion, while white spots after teeth whitening can be a concern, they are often manageable. By understanding the causes, being aware of the facts, and choosing appropriate treatments, you can minimize their appearance and maintain a beautiful, bright smile. Always consult with your dentist for personalized advice and the best approach to achieving your desired results. Proper preparation, diligent care, and informed decisions will pave the way for a successful and satisfying teeth whitening experience, allowing you to smile with confidence.
