Understanding Teeth Whitening and Sore Gums
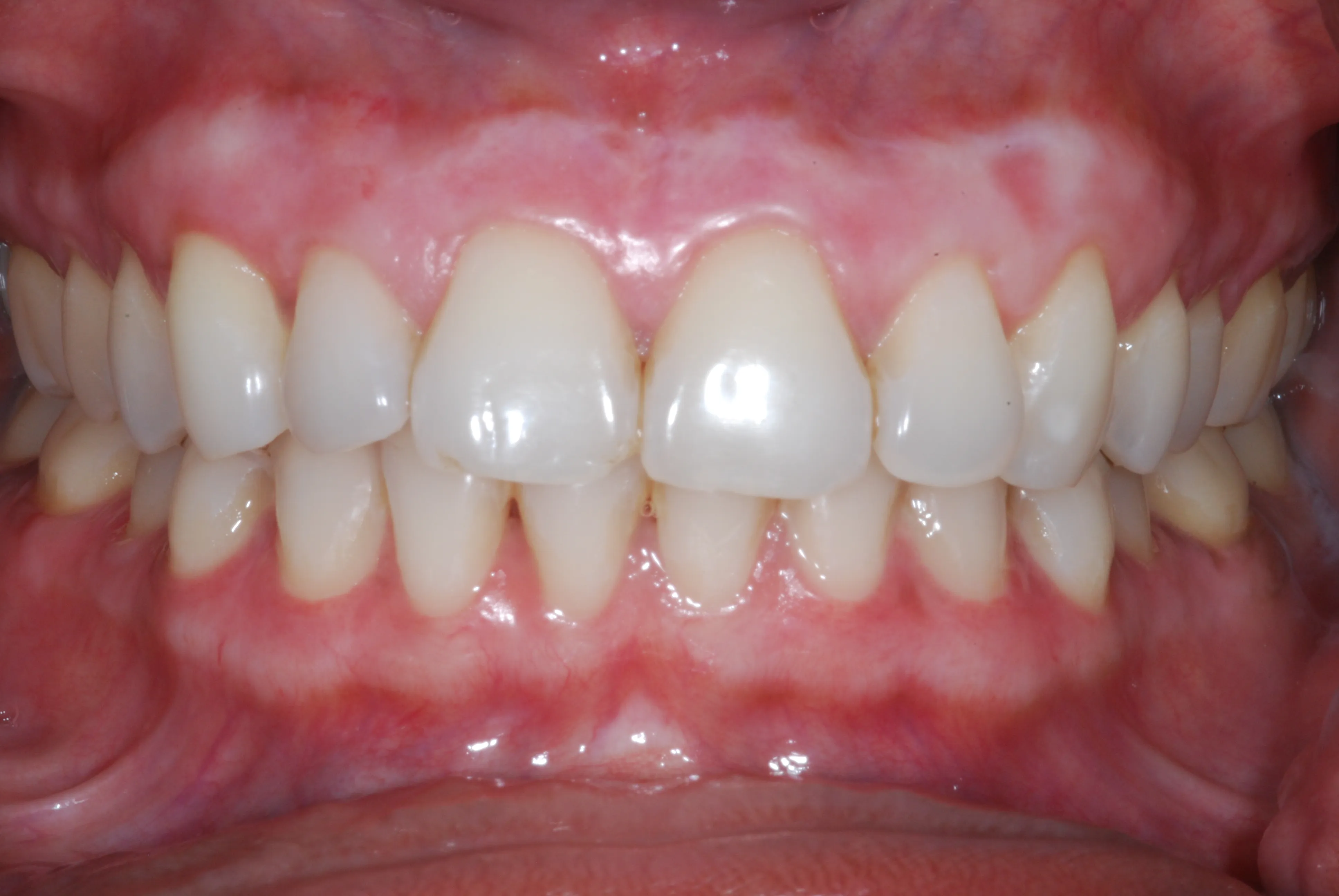
Teeth whitening is a popular cosmetic procedure, but it can sometimes lead to undesirable side effects, with sore gums being one of the most common. Understanding why your gums might become sore after teeth whitening is the first step toward finding relief. This issue arises from the active ingredients in whitening products, primarily hydrogen peroxide or carbamide peroxide, which are designed to penetrate the enamel and break down stain molecules. However, these chemicals can also irritate the delicate tissues of your gums, causing inflammation, redness, and discomfort. It’s essential to know that experiencing some level of gum sensitivity is not uncommon, but severe or prolonged soreness should be addressed promptly. This article provides insights into managing and preventing gum soreness.
What Causes Sore Gums After Whitening?
Several factors contribute to the development of sore gums after teeth whitening. The most significant is the chemical composition of the whitening agents. These agents can irritate gum tissues and cause inflammation. However, the specific causes can vary depending on the individual and the whitening method used. Understanding these factors can help you take preventive measures and choose appropriate solutions. These causes include sensitivity to whitening agents, improper application techniques and pre-existing conditions. Each of these can contribute to increased discomfort and potential complications during and after the teeth whitening process.
Sensitivity to Whitening Agents

The primary reason for sore gums is the sensitivity to the chemicals present in the whitening products. Hydrogen peroxide and carbamide peroxide, the active ingredients, are strong oxidizing agents that break down stain molecules. However, they can also irritate the gum tissues. The higher the concentration of these chemicals, the greater the potential for gum irritation. This sensitivity varies from person to person. Some individuals have naturally more sensitive gums or may have pre-existing conditions that make them more susceptible to irritation. Using products with a lower concentration of active ingredients or reducing the frequency of treatments can often help minimize discomfort. Additionally, ensuring proper application techniques and following the manufacturer’s instructions can help prevent the whitening agent from coming into direct contact with the gums.
Improper Application Techniques
Incorrect application of teeth whitening products is another significant cause of gum soreness. When using at-home kits, the whitening gel is often applied using trays. If these trays don’t fit properly, the gel can leak onto the gums, causing direct contact and irritation. Similarly, using too much gel or applying it too close to the gumline can also lead to inflammation. Professional whitening treatments performed by a dentist are usually safer because the dentist can take precautions to protect your gums, such as using a protective barrier. When using at-home products, be sure to carefully follow the instructions. This includes ensuring the trays fit snugly, using the correct amount of gel, and avoiding overfilling the trays. If you notice any discomfort, stop using the product and consult with your dentist.
Existing Gum Issues
Individuals with pre-existing gum problems, such as gingivitis or periodontitis, are more likely to experience discomfort during teeth whitening. Gingivitis, the early stage of gum disease, causes inflammation and sensitivity. Whitening treatments can exacerbate these conditions, leading to increased soreness and bleeding. Similarly, if you have any open sores or cuts in your mouth, the whitening agents can cause more significant irritation. Before undergoing teeth whitening, it’s essential to have a dental check-up. Your dentist can assess your oral health and address any existing gum issues. If necessary, they may recommend treating these issues before proceeding with whitening to minimize discomfort and complications. Maintaining good oral hygiene practices is also very crucial.
6 Proven Solutions for Sore Gums After Teeth Whitening

Dealing with sore gums after teeth whitening can be uncomfortable, but fortunately, there are several effective solutions. From simple home remedies to professional treatments, many options can provide relief and promote healing. Understanding the different approaches allows you to choose the most appropriate solution for your specific needs. The following solutions provide a comprehensive guide to managing sore gums, ensuring you can continue your teeth whitening journey with minimal discomfort. It is important to consider both the short-term relief and the long-term oral health implications of each approach. Here’s a look at six proven solutions that can help ease the discomfort and promote faster healing.
Solution 1 Soothing with Saltwater Rinses
Saltwater rinses are a simple yet effective remedy for soothing sore gums. The antibacterial properties of salt help reduce inflammation and promote healing. Saltwater rinses can be easily prepared at home and offer immediate relief from discomfort. They are also safe and gentle, making them a great first line of defense against gum soreness after teeth whitening. The process not only cleanses the mouth but also helps in reducing swelling and irritation, thus accelerating the healing process. Incorporating this practice into your oral hygiene routine can make a significant difference in your comfort level after teeth whitening. This traditional method remains a staple in dental care due to its effectiveness and ease of use.
How to Prepare a Saltwater Rinse
Preparing a saltwater rinse is very straightforward. Simply dissolve about a half teaspoon of salt in a glass of warm water. The warm water helps the salt dissolve more easily and is also soothing to the gums. Stir the mixture until the salt is completely dissolved. Then, gently swish the solution around your mouth for about 30 seconds, ensuring it reaches all areas. After swishing, spit out the solution. Avoid swallowing the saltwater, as this can lead to dehydration. Repeat this process two to three times a day, especially after brushing your teeth, to help reduce inflammation and promote healing. This simple rinse can provide significant relief from gum soreness and is a practical addition to your post-whitening care routine.
Benefits of Saltwater Rinse

Saltwater rinses offer several benefits for treating sore gums after teeth whitening. Salt acts as a natural disinfectant, helping to kill bacteria in the mouth and reduce the risk of infection. The rinse also helps to draw out fluids from the inflamed tissues, reducing swelling and providing relief from pain. Moreover, saltwater rinses can cleanse the area, removing food particles and debris that might further irritate the gums. Regular use can accelerate the healing process, making your gums feel more comfortable in less time. In addition to these direct benefits, saltwater rinses are also inexpensive, readily available, and safe for most people, making them an excellent choice for managing gum soreness.
Solution 2 Using Over-the-Counter Pain Relievers
Over-the-counter (OTC) pain relievers can be a quick and effective way to manage pain and discomfort caused by sore gums after teeth whitening. These medications help reduce inflammation and provide temporary relief from pain. Several options are readily available at most pharmacies and grocery stores, allowing you to find a solution that suits your needs. When choosing an OTC pain reliever, consider the specific symptoms you are experiencing and any other health conditions you might have. Reading the labels and following the instructions carefully is very essential. This approach can help manage the immediate discomfort while your gums heal and promote a comfortable experience following your teeth whitening procedure.
Common Pain Relief Options
Several OTC pain relievers are available for treating sore gums. Nonsteroidal anti-inflammatory drugs (NSAIDs), such as ibuprofen or naproxen, are effective in reducing both pain and inflammation. Acetaminophen (Tylenol) is another option that can help relieve pain, though it doesn’t have anti-inflammatory properties. Topical anesthetic gels or creams containing benzocaine can also provide localized relief by numbing the gums. These are often applied directly to the affected area. When selecting a pain reliever, consider the severity of your discomfort and any potential side effects. Follow the recommended dosages and avoid exceeding the maximum daily intake. If your pain persists or worsens, consult your dentist or healthcare provider.
Safety Considerations

While OTC pain relievers can offer relief, it’s important to use them safely. Always read and follow the instructions on the packaging carefully. Be aware of potential side effects, such as stomach upset, and take the medication with food if necessary. Avoid taking multiple pain relievers simultaneously unless directed by a healthcare professional. If you have any underlying health conditions, such as kidney or liver problems, consult your doctor before using pain relievers. Pregnant or breastfeeding women should also seek medical advice before taking any medication. Overuse of pain relievers can lead to adverse effects, so it’s crucial to use them responsibly and seek professional help if your symptoms do not improve or worsen.
Solution 3 Applying Topical Gels and Pastes
Topical gels and pastes are specially formulated to soothe and protect sore gums after teeth whitening. These products often contain ingredients like fluoride, which helps to strengthen tooth enamel and reduce sensitivity. They can provide targeted relief by creating a protective barrier over the gums, reducing irritation and promoting healing. Topical treatments are easy to use and can be incorporated into your regular oral care routine. They are also very accessible, often available over the counter at pharmacies and dental clinics. Using these products can significantly reduce discomfort and promote faster recovery, allowing you to enjoy your teeth whitening results without prolonged discomfort. These products can be an effective and convenient way to manage gum soreness.
Types of Gels and Pastes
Several types of topical gels and pastes are available to soothe sore gums. Fluoride gels help strengthen enamel and reduce sensitivity, providing a protective layer. Some products contain ingredients like potassium nitrate, which desensitizes the nerves in your teeth and gums. Look for products specifically designed for sensitive teeth or gums. These often contain soothing agents like aloe vera or chamomile. When choosing a product, consider the ingredients and any potential allergies or sensitivities you may have. Consult your dentist for recommendations on the best product for your specific needs. These specialized products can provide targeted relief and support the healing process, ensuring a more comfortable teeth whitening experience.
How to Apply Topical Treatments

Applying topical gels and pastes correctly is essential for maximizing their effectiveness. Always start by brushing your teeth gently with a soft-bristled toothbrush. This helps remove any debris and allows the product to penetrate the gums more effectively. Apply a small amount of the gel or paste to a clean finger or a cotton swab. Gently apply the product to your gums, especially the areas that are sore or irritated. Avoid rubbing the product vigorously, as this can worsen the inflammation. Follow the product’s instructions for how long to leave it on. Usually, it’s recommended to leave the product on for a few minutes before rinsing or spitting out any excess. Repeat the application as directed on the product label, often once or twice a day, to ensure continued comfort and healing. Make sure not to swallow the product.
Solution 4 Practicing Gentle Oral Hygiene
Maintaining gentle oral hygiene is very important for managing sore gums after teeth whitening. Proper brushing and flossing techniques, along with the right tools, can minimize irritation and promote healing. Avoiding aggressive brushing and using gentle methods can make a significant difference in your comfort level. The aim is to keep your mouth clean while avoiding any further trauma to your gums. This approach helps to reduce inflammation and supports the natural healing process. Regular, yet gentle, oral hygiene practices are essential for maintaining a healthy mouth and minimizing discomfort after any dental procedure.
Soft-Bristled Toothbrush
Using a soft-bristled toothbrush is crucial for preventing further irritation to your gums. Hard-bristled toothbrushes can be too abrasive and can damage the delicate gum tissue, especially when your gums are already sensitive. Soft bristles gently clean your teeth and gums without causing additional trauma. When brushing, use gentle, circular motions, applying minimal pressure. Brush for at least two minutes, ensuring you reach all surfaces of your teeth. Replace your toothbrush every three months or sooner if the bristles become frayed. Using a soft-bristled toothbrush helps reduce discomfort and prevents further inflammation, allowing your gums to heal more quickly.
Gentle Flossing Techniques

Proper flossing is essential for removing plaque and food particles from between your teeth and under the gumline. However, aggressive flossing can irritate sore gums. Use a gentle flossing technique to minimize discomfort. Gently guide the floss between your teeth, using a sawing motion to avoid snapping it against your gums. Curve the floss into a ‘C’ shape around each tooth and gently slide it under the gumline. Avoid forcing the floss, which can cause bleeding and further irritation. Floss once a day, preferably before brushing, to remove any debris. Using gentle techniques and being careful can help maintain clean teeth and gums, promoting healing and comfort.
Solution 5 Avoiding Irritants
Avoiding irritants is essential for managing sore gums after teeth whitening. Certain foods, drinks, and habits can exacerbate gum inflammation and delay the healing process. Identifying and avoiding these irritants allows your gums to recover more quickly and minimizes discomfort. Pay attention to what you consume and the habits you engage in, as these can greatly influence your gum health. By making thoughtful choices, you can create an environment that promotes healing and allows you to fully enjoy the benefits of your teeth whitening procedure. This proactive approach ensures a smoother and more comfortable recovery.
Foods and Drinks to Avoid
Certain foods and drinks can irritate sore gums. Avoid acidic foods and drinks, such as citrus fruits, tomatoes, and carbonated beverages, as they can erode the enamel and irritate the gums. Spicy foods can also exacerbate inflammation and cause discomfort. Sticky or hard foods may be difficult to chew and can put unnecessary stress on the gums. Instead, choose soft, bland foods that are easy to eat. Drinking plenty of water is essential to stay hydrated and promote healing. Be mindful of what you consume during the recovery period and adjust your diet accordingly. This approach can make a significant difference in the healing process.
Smoking and Tobacco Products

Smoking and using tobacco products can significantly hinder the healing process and worsen gum soreness. Tobacco use can restrict blood flow to the gums, delaying healing and increasing the risk of infection. Smoking also introduces harmful chemicals into your mouth, which can further irritate the gums. Quitting smoking or avoiding tobacco products altogether is essential for promoting healthy gums and faster healing. If you are a smoker, consider seeking support to quit, as this will not only benefit your oral health but your overall well-being. Avoiding tobacco products is a critical step in ensuring a smooth recovery and minimizing discomfort.
Solution 6 Consulting with Your Dentist
Consulting with your dentist is very important, especially if your gum soreness persists or worsens. Your dentist can assess the condition of your gums and provide professional advice tailored to your specific needs. They can identify any underlying issues and recommend appropriate treatments. Professional guidance can help prevent complications and ensure the best possible outcome from your teeth whitening procedure. Regular dental check-ups are a cornerstone of good oral health, and seeking professional advice is essential when experiencing any unusual symptoms. This collaborative approach between you and your dentist ensures a healthier, more comfortable experience.
When to Seek Professional Advice
You should seek professional advice if your gum soreness is severe, persistent, or worsens over time. Other warning signs include excessive bleeding, swelling, or the presence of pus. If you experience fever or any other systemic symptoms, contact your dentist immediately. Your dentist can examine your mouth and determine if you have an infection or another underlying issue. They might recommend more advanced treatments, such as prescription medications or specialized procedures, to address the problem. Early intervention is crucial for preventing complications and promoting faster healing. Don’t hesitate to seek professional help, as addressing the issue promptly ensures your oral health.
Professional Treatments for Sore Gums
Your dentist may offer various professional treatments to alleviate sore gums. They might prescribe antimicrobial mouthwashes to reduce inflammation and prevent infection. They might also recommend topical treatments with stronger concentrations or specialized formulas. In some cases, if the soreness is due to underlying gum disease, your dentist might perform scaling and root planing to remove plaque and tartar from below the gumline. In severe cases, they may recommend more advanced procedures, such as antibiotics. Professional treatments ensure that the underlying causes of gum soreness are addressed and managed effectively. This approach ensures that you receive the best possible care and promotes optimal oral health and comfort.
Preventing Sore Gums During Teeth Whitening
Preventing sore gums during teeth whitening is easier than treating them, and it starts with choosing the right methods and following the instructions carefully. By taking proactive steps, you can minimize the risk of irritation and enjoy a more comfortable teeth whitening experience. Understanding and implementing preventive measures can ensure you achieve a brighter smile without unnecessary discomfort. Proper preparation and adherence to best practices can significantly improve your experience and promote good oral health. Prioritizing prevention can lead to a smoother, more satisfying outcome, avoiding potential complications.
Choosing the Right Whitening Method
When choosing a teeth whitening method, consider the potential impact on your gums. At-home whitening kits offer convenience but can sometimes lead to irritation if not used correctly. Professional whitening treatments, performed by a dentist, often provide more control and can minimize risks. If you have sensitive gums, discuss this with your dentist before starting any whitening procedure. They can recommend methods with lower concentrations of active ingredients or provide protective measures, such as applying a gum barrier before the treatment. Choosing a method that aligns with your specific needs and sensitivity levels is very important. This approach can significantly reduce the likelihood of developing sore gums.
Following Instructions Carefully
Carefully following the instructions provided with your teeth whitening product is essential for preventing gum soreness. Pay close attention to the application guidelines, including the amount of gel to use, the duration of treatment, and the frequency of application. Ensure that trays fit snugly to prevent the gel from leaking onto your gums. Avoid overfilling the trays. If you experience any discomfort, stop the treatment immediately and consult your dentist. Following these steps can help minimize direct contact between the whitening agent and your gums. Following the instructions carefully will help you maximize your results while protecting your oral health and comfort. Adherence to instructions ensures safe and effective teeth whitening.
Maintaining Good Oral Hygiene
Maintaining good oral hygiene is a cornerstone of preventing gum soreness during teeth whitening. Before whitening, ensure that your teeth and gums are healthy. Brush and floss regularly to remove plaque and debris, and schedule a professional cleaning with your dentist to address any existing issues. During whitening, continue to practice gentle oral hygiene. Use a soft-bristled toothbrush and brush carefully to avoid irritating your gums. Avoid aggressive flossing, and floss gently between your teeth. Maintaining good oral hygiene supports healthy gums and helps prevent irritation during and after teeth whitening. This approach ensures a comfortable experience and helps achieve optimal results.
In conclusion, while teeth whitening can sometimes lead to sore gums, understanding the causes and implementing the right solutions can make a significant difference. From simple home remedies like saltwater rinses to professional treatments, many options are available to alleviate discomfort and promote healing. By choosing the right whitening method, following instructions carefully, and maintaining good oral hygiene, you can minimize the risk of gum soreness and enjoy a brighter, healthier smile. Remember to consult with your dentist if you experience severe or persistent symptoms for personalized advice and treatment. Prioritizing your oral health ensures a comfortable and successful teeth whitening experience.
