What is Teeth Whitening and Why Plantation FL Residents Need It
Teeth whitening is a cosmetic dental procedure designed to lighten the shade of your teeth, removing stains and discoloration to reveal a brighter, more confident smile. In Plantation, FL, where appearances and personal image are often prioritized, teeth whitening has become increasingly popular. The need for teeth whitening arises from various factors, including lifestyle choices, dietary habits, and the natural aging process. Coffee, tea, wine, and tobacco can all contribute to staining, while the enamel naturally thins over time, exposing the underlying dentin, which is often yellower. Residents of Plantation, FL, often seek teeth whitening to enhance their smiles for social events, professional settings, or simply to boost their self-esteem.
Understanding Tooth Discoloration
Tooth discoloration occurs when stains accumulate on the surface of the enamel or within the deeper layers of the tooth. There are two primary types of tooth discoloration — extrinsic and intrinsic. Extrinsic stains affect the surface of the enamel and are typically caused by external factors, such as the consumption of staining foods and drinks. Intrinsic stains, on the other hand, originate from within the tooth and can be caused by factors like aging, certain medications, or excessive fluoride exposure during childhood. Understanding the type of discoloration you have is crucial for determining the most effective teeth whitening treatment. For Plantation, FL residents, a consultation with a dental professional can help identify the root cause of discoloration and recommend the most suitable solution.
Common Causes of Tooth Staining

Several factors contribute to tooth staining, affecting the smiles of people everywhere, including those in Plantation, FL. The most common causes include the consumption of staining foods and beverages, such as coffee, tea, red wine, and dark-colored berries. Tobacco use, whether through smoking or chewing, is another major culprit. Additionally, poor oral hygiene habits, such as infrequent brushing and flossing, can allow stains to accumulate. Certain medications, such as tetracycline antibiotics, can also cause intrinsic staining. The natural aging process can also contribute to discoloration, as the enamel thins over time. Recognizing these causes is essential for both preventing and addressing tooth staining, enabling Plantation, FL residents to maintain bright, healthy smiles.
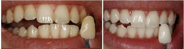
Top 5 Teeth Whitening Secrets in Plantation FL
Secret 1 Choose Professional Teeth Whitening
For the most effective and safest teeth whitening results, consider professional teeth whitening treatments offered by dental professionals in Plantation, FL. Professional treatments utilize stronger bleaching agents than over-the-counter products and are administered under the supervision of a dentist. This ensures the bleaching process is controlled, minimizing the risk of gum irritation and tooth sensitivity. Professional whitening can often achieve dramatic results in a single visit, providing a significantly brighter smile. Moreover, your dentist can assess your oral health and determine if teeth whitening is the right option for you, considering factors like existing dental work and any underlying conditions.
Advantages of Professional Whitening

Professional teeth whitening offers several advantages over at-home methods. First and foremost, the strength of the bleaching agents used by dentists is significantly higher, leading to more dramatic and faster results. Dentists can also customize the treatment to your specific needs and the degree of staining. Furthermore, professional whitening includes protective measures to shield your gums and soft tissues from irritation. The process is closely monitored by a dental professional, ensuring safety and minimizing potential side effects, like sensitivity. For Plantation, FL residents seeking the best possible results with minimal risks, professional teeth whitening is the clear choice, providing a safe, effective, and efficient way to achieve a dazzling smile.
Secret 2 Maintain Good Oral Hygiene
Maintaining excellent oral hygiene is fundamental to achieving and preserving a bright, white smile. Consistent brushing, flossing, and regular dental check-ups are essential for removing surface stains and preventing new ones from forming. Brushing twice a day with a fluoride toothpaste helps remove plaque and food particles, which can contribute to discoloration. Flossing daily removes debris from between teeth and along the gumline, areas that brushing often misses. Regular dental cleanings by a professional hygienist in Plantation, FL, can remove stubborn stains and polish the teeth, further enhancing their brightness and overall appearance. Good oral hygiene is not just about aesthetics; it is also crucial for your overall dental health.
Brushing and Flossing Techniques
Effective brushing and flossing techniques are vital for maintaining optimal oral hygiene and preventing tooth discoloration. When brushing, use a soft-bristled toothbrush and gently brush all surfaces of your teeth for at least two minutes, paying attention to the gumline. Use a circular or back-and-forth motion, ensuring you reach all areas of your mouth. Flossing should be done daily to remove plaque and food particles from between your teeth and under the gumline. Use about 18 inches of floss, wrapping it around your fingers and gently guiding it between each tooth. Make a C-shape around each tooth and slide the floss up and down, cleaning the sides. Proper brushing and flossing, coupled with regular dental visits, are key to a healthy, bright smile for Plantation, FL residents.
Secret 3 Dietary Choices for a White Smile

The foods and drinks you consume significantly impact the brightness of your teeth. Certain items can stain your teeth, while others can help keep them white. Limiting your intake of staining foods and drinks, such as coffee, tea, red wine, and dark-colored berries, is crucial. If you do consume these items, try to drink water afterward to rinse your mouth and minimize staining. Brushing your teeth after consuming staining foods can also help. Additionally, incorporating teeth-whitening foods like apples, celery, and carrots into your diet can help to naturally clean your teeth. Making conscious dietary choices can play a significant role in maintaining a white, healthy smile, which is especially important for image-conscious individuals in Plantation, FL.
Foods and Drinks to Avoid
To maintain a bright smile, it’s wise to minimize consumption of foods and drinks known for staining teeth. Coffee and tea, due to their dark pigments, are major culprits, as are red wine and dark sodas. Berries, such as blueberries and blackberries, can also stain the enamel. Similarly, foods with strong colors, like soy sauce, balsamic vinegar, and curries, can contribute to discoloration. Tobacco use, in any form, is a significant cause of staining. Limiting or avoiding these items, or at least rinsing your mouth with water after consuming them, can significantly help preserve the whiteness of your teeth. This is particularly important for people in Plantation, FL, where a bright, white smile is often a priority.
Foods and Drinks to Embrace
While some foods and drinks stain teeth, others can promote a brighter smile. Water is essential, as it helps rinse away staining particles. Crunchy fruits and vegetables, like apples, celery, and carrots, act as natural abrasives, helping to clean the teeth. Dairy products, such as milk, cheese, and yogurt, contain calcium, which strengthens enamel and can help prevent stains from setting in. Green tea, though it can stain in excess, has fewer staining properties compared to black tea and can offer antioxidant benefits. By incorporating these items into your diet, you can support your teeth whitening efforts and maintain a healthy, radiant smile, which is always desirable for Plantation, FL residents.
Secret 4 Explore At-Home Whitening Options

At-home whitening options can be a convenient and cost-effective way to improve your smile’s brightness. However, it’s essential to understand the different types available and their potential benefits and drawbacks. Over-the-counter whitening strips and toothpastes are widely available and can provide modest whitening results. Custom-fitted trays from your dentist can offer more consistent whitening than generic strips, as they ensure the whitening agent comes into close contact with your teeth. When using at-home whitening products, always follow the instructions carefully to avoid gum irritation or tooth sensitivity. If you’re considering at-home whitening, consult your dentist in Plantation, FL, to determine the most appropriate method for your needs and oral health.
Over-the-Counter Whitening Products
Over-the-counter whitening products offer a readily accessible option for enhancing your smile. Whitening toothpastes typically contain mild abrasives or chemicals to remove surface stains. Whitening strips are another popular choice, applying a thin layer of a whitening agent to your teeth. These products are generally safe when used as directed, but they may not provide the dramatic results of professional treatments. It’s important to read the product instructions carefully and follow them precisely to minimize the risk of side effects, such as tooth sensitivity. For Plantation, FL residents looking for a quick and affordable way to brighten their smile, over-the-counter options can be a suitable starting point, but they may not address deeper staining.
Secret 5 Schedule Regular Dental Check-ups
Regular dental check-ups and professional cleanings are vital for maintaining a bright, healthy smile. During these visits, your dentist in Plantation, FL, will assess your oral health, identify any potential problems, and remove plaque and tartar buildup that can cause discoloration. Professional cleanings polish your teeth, further enhancing their brightness and removing surface stains. Routine check-ups also allow your dentist to catch and address any underlying dental issues, such as cavities or gum disease, which can affect your smile’s appearance. By scheduling regular appointments, you can ensure your teeth remain healthy, clean, and bright, maintaining your investment in a beautiful smile. This is a key step for long-term teeth whitening success for the residents of Plantation, FL.
Benefits of Professional Dental Cleanings

Professional dental cleanings offer numerous benefits beyond just a brighter smile. Dentists or dental hygienists use specialized tools to thoroughly clean your teeth, removing plaque and tartar that regular brushing and flossing may miss. This deep cleaning helps prevent cavities, gum disease, and other oral health problems. During a cleaning, your teeth are also polished, which removes surface stains and leaves your teeth feeling smooth and refreshed. Regular professional cleanings can also help detect early signs of dental issues, such as tooth decay or gum disease, allowing for timely treatment. For Plantation, FL residents, professional cleanings are a cornerstone of maintaining optimal oral health and a vibrant, confident smile.
Finding the Right Teeth Whitening Specialist in Plantation FL
Choosing the right teeth whitening specialist in Plantation, FL, is crucial for achieving the best results and ensuring your oral health is protected. Look for a dentist with experience and expertise in cosmetic dentistry and teeth whitening procedures. Check online reviews and testimonials to get a sense of their reputation and the experiences of other patients. Consider factors such as the dentist’s communication style, the technology they use, and the range of services they offer. A good specialist will perform a thorough examination of your teeth and gums and discuss your goals and expectations. Make sure the dentist is licensed and adheres to the highest standards of care. Taking the time to find the right specialist will help ensure a positive teeth whitening experience and a beautiful, healthy smile.
Questions to Ask Potential Dentists
Before committing to a teeth whitening procedure, it’s important to ask potential dentists a few key questions. Inquire about the different whitening options they offer, such as in-office treatments and take-home kits, and what are the pros and cons of each option. Ask about the dentist’s experience with teeth whitening procedures and how many they have performed. Find out what type of whitening agent they use and its concentration. Inquire about the potential side effects of the treatment and how they address them. Ask to see before-and-after photos of their patients’ results. Most importantly, ask about the cost of the procedure and what it includes. Asking these questions will help you make an informed decision and find the right dentist for your teeth whitening needs in Plantation, FL.
The Cost of Teeth Whitening in Plantation FL

The cost of teeth whitening in Plantation, FL, can vary depending on the type of treatment, the dentist’s fees, and the specific needs of the patient. Professional in-office whitening treatments are generally more expensive than at-home options, but they offer faster and more dramatic results. The cost can also vary based on the complexity of the case and the number of sessions required. At-home whitening kits are typically more affordable but may require more time to achieve desired results. It’s always best to consult with a dentist in Plantation, FL, to get an accurate estimate of the cost based on your specific situation. Many dental practices offer financing options or payment plans to make teeth whitening more accessible. When considering the cost, remember that teeth whitening is an investment in your smile and overall confidence.
