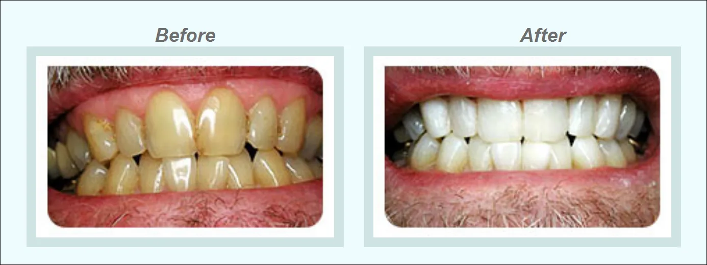
What is Teeth Whitening
Teeth whitening is a cosmetic dental procedure designed to lighten the shade of your teeth. It involves removing stains and discoloration from the enamel, the outer layer of your teeth, and sometimes even the dentin, the layer beneath the enamel. People often seek teeth whitening to enhance their smiles, boost their confidence, and achieve a more youthful appearance. The process can range from simple over-the-counter products to professional treatments administered by a dentist. The effectiveness and longevity of the whitening depend on the method used and individual factors like diet and oral hygiene. Understanding the various options and the science behind them is essential to making informed decisions about teeth whitening.
How Teeth Whitening Works
Teeth whitening works by using bleaching agents, typically hydrogen peroxide or carbamide peroxide, to break down the stain molecules within the tooth enamel. These agents penetrate the enamel and dentin, oxidizing the discolored compounds and making them less visible. The concentration of the bleaching agent determines the speed and intensity of the whitening process. Professional treatments use higher concentrations than over-the-counter products, resulting in faster and more dramatic results. The chemical reaction essentially ‘bleaches’ the teeth, removing the stains and restoring a brighter, whiter appearance. The process itself is relatively straightforward, but the efficacy depends on several factors, including the type of stains, the concentration of the bleaching agent, and the duration of the treatment.
The 3 Steps to Whiter Teeth

Achieving a whiter smile typically involves a combination of professional guidance, appropriate treatments, and diligent aftercare. Following these steps ensures you get the best outcome from the teeth whitening procedure and maintain the results for a longer period. The journey to a brighter smile is often a collaborative one, involving your dentist and your commitment to the process. Following these steps will give you the best results.
Step 1 Consult a Dentist
Before starting any teeth whitening procedure, it is crucial to consult with a dentist. The dentist will assess your oral health, identify the cause of the discoloration, and determine the most suitable whitening method for your specific needs. This initial consultation may include a dental examination and x-rays to check for underlying issues like cavities or gum disease, which need to be addressed before whitening. The dentist can also provide personalized recommendations based on your teeth’s condition and the extent of the staining. They will explain the different whitening options available, discuss the potential risks and side effects, and help you set realistic expectations. Professional advice ensures a safe and effective teeth whitening experience.
Step 2 Professional Whitening Options
Dentists offer various professional teeth whitening options, each with its own advantages. These options generally provide faster and more dramatic results compared to at-home methods due to the use of stronger bleaching agents and professional application. The choice of method depends on your preferences, budget, and the severity of the discoloration. There are two primary options: in-office teeth whitening and take-home whitening kits provided by the dentist.
In-Office Teeth Whitening

In-office teeth whitening involves a dentist applying a high-concentration bleaching agent to your teeth. The dentist usually protects your gums and soft tissues with a protective barrier before applying the whitening solution. The procedure typically takes about an hour, and the results are often visible immediately. The dentist might use a special light or laser to accelerate the whitening process. Because of the strong bleaching agents used, in-office treatments can achieve significant results quickly. The dentist monitors the process closely to ensure safety and prevent any adverse effects, making this a popular and effective option for those seeking immediate and dramatic improvements in their smile.
Take-Home Whitening Kits
Take-home whitening kits provided by your dentist offer a more gradual whitening process. These kits typically include custom-fitted trays and a lower-concentration bleaching gel. The dentist takes impressions of your teeth to create the custom trays, ensuring a comfortable and precise fit. You then fill the trays with the whitening gel and wear them for a specified amount of time each day, as instructed by your dentist. The main advantage of this method is that it can be done in the comfort of your home and provides better control over the whitening process. Although it takes longer than in-office whitening, it is a cost-effective option with noticeable results.
Step 3 Maintenance and Aftercare
After undergoing a teeth whitening procedure, proper maintenance and aftercare are essential to prolong the results and maintain a bright smile. This involves following your dentist’s instructions carefully, which may include avoiding certain foods and drinks that can stain your teeth, such as coffee, tea, red wine, and dark-colored berries. Regular oral hygiene practices, including brushing twice a day, flossing daily, and using a whitening toothpaste, are crucial to keeping your teeth white. You should also schedule regular dental check-ups and cleanings to help maintain the brightness of your teeth.
How Long Does Teeth Whitening Last

The longevity of teeth whitening results varies depending on the method used, individual factors, and post-treatment care. Professional treatments often yield longer-lasting results than over-the-counter options. However, even professional whitening is not permanent. The results can last from a few months to several years, but eventually, the teeth will begin to re-stain. The lifespan of your whiter smile depends on several things. Maintaining your teeth and taking proper care will significantly impact how long your teeth will stay white.
Factors Affecting Longevity
Several factors influence how long your teeth whitening results will last. Your diet plays a significant role. Frequent consumption of staining foods and drinks like coffee, tea, red wine, and berries can accelerate the re-staining process. Smoking or using tobacco products also significantly impacts the longevity of teeth whitening, as nicotine and tar cause yellowing and discoloration. Your oral hygiene habits are essential; poor oral hygiene leads to faster staining and a duller smile. Regular dental check-ups and cleanings help remove surface stains and maintain brightness. Overall, lifestyle choices and adherence to dental care recommendations will determine how long you enjoy your bright smile.
Tips for Maintaining Results
To maximize the longevity of your teeth whitening results, follow these tips. Avoid or limit staining foods and drinks like coffee, tea, red wine, and dark-colored juices. Drink through a straw to minimize contact with your teeth. Brush your teeth immediately after consuming staining foods or drinks. Practice excellent oral hygiene habits, including brushing twice a day for two minutes, flossing daily, and using a whitening toothpaste. Schedule regular dental check-ups and cleanings to remove surface stains. Consider touch-up treatments or maintenance kits as recommended by your dentist. These simple habits will help you enjoy your bright smile for as long as possible.
Potential Risks and Side Effects

While teeth whitening is generally safe, there are potential risks and side effects associated with the procedure. The most common side effect is tooth sensitivity, which can range from mild to moderate. Sensitivity usually subsides within a few days after treatment. Gum irritation or inflammation can occur, especially if the bleaching agent comes into contact with the gums. Other potential risks include uneven whitening, where certain areas of the teeth do not lighten as much as others, and, in rare cases, damage to the enamel. It’s crucial to consult with a dentist to discuss potential risks and ensure that the procedure is suitable for your teeth. Professional supervision helps minimize risks and ensures a safer, more effective whitening experience.
