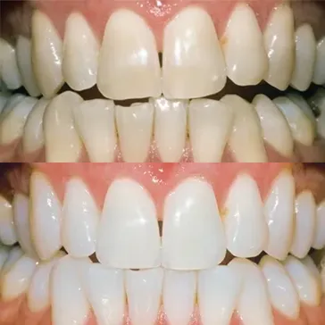
What is Teeth Whitening
Teeth whitening, also known as teeth bleaching, is a cosmetic dental procedure designed to lighten the shade of your teeth. It’s a popular treatment for those seeking to improve their smile and boost their confidence. Over time, teeth can become discolored due to various factors such as aging, the consumption of staining foods and drinks (coffee, tea, red wine), and smoking. Teeth whitening works by using bleaching agents to break down these stains, resulting in a brighter, more radiant smile. This procedure has gained popularity due to its effectiveness and relatively non-invasive nature, making it a go-to solution for those looking to enhance their appearance.
Types of Teeth Whitening Treatments
There are several teeth whitening options available in Clayton, each with its own set of advantages and considerations. These treatments can be broadly categorized into in-office procedures performed by a dentist and at-home methods, which include custom-fitted trays and over-the-counter products. The choice depends on your individual needs, the severity of the discoloration, and your budget. Understanding the differences between these options is crucial to making an informed decision and achieving the best possible results for a dazzling smile.
In-Office Whitening

In-office teeth whitening, often called professional teeth whitening, is performed by a dentist in a clinic setting. This method usually involves the application of a high-concentration bleaching agent, which is then activated using a special light or laser. The entire procedure, which can be completed in about an hour, offers immediate and dramatic results. In-office whitening is generally considered the most effective and safest option as it is performed under the supervision of a trained professional who can monitor your teeth and gums for any adverse reactions. Furthermore, the dentist can address any sensitivity that may arise during the treatment, ensuring a comfortable experience and optimal outcomes. The image shows a patient undergoing in-office whitening, which is performed in a controlled environment to ensure the effectiveness and safety of the procedure.
At-Home Whitening Kits
At-home whitening kits are a more convenient option for those who prefer to whiten their teeth in the comfort of their homes. These kits often include custom-fitted trays that you fill with a bleaching gel provided by your dentist. The trays are worn for a specified amount of time each day, usually for a few hours or overnight, over a period of several weeks. While at-home whitening may take longer to produce noticeable results compared to in-office treatments, it is generally a more affordable option and allows for greater flexibility. Your dentist in Clayton will usually monitor your progress and offer guidance to ensure the best and safest results from the whitening process. Always follow your dentist’s instructions for optimal whitening results.
Over-the-Counter Products
Over-the-counter (OTC) teeth whitening products are readily available at drugstores and supermarkets. These products include whitening toothpaste, strips, and gels. They are the most affordable option and do not require a visit to the dentist. However, OTC products usually contain lower concentrations of bleaching agents, meaning the results might be less dramatic, and the whitening process may take longer. It’s also important to note that these products may not be suitable for everyone, especially those with sensitive teeth or pre-existing dental issues. Always read the product instructions carefully and consult with a dentist if you have any concerns about their usage, and be mindful of the potential for uneven whitening.
How to Choose the Right Whitening Option

Choosing the right teeth whitening option in Clayton depends on your individual needs, budget, and dental health. Consider the extent of discoloration, your sensitivity to dental treatments, and the level of whitening you desire. If you are looking for immediate and significant results, in-office whitening may be the best choice. If you prefer a more gradual approach and are budget-conscious, at-home whitening kits or over-the-counter products might be more suitable. Consulting with a dentist is always the best way to make an informed decision. They can assess your oral health, recommend the most appropriate treatment, and provide guidance on how to achieve the best and safest results.
Factors to Consider
Several factors should be considered when choosing a teeth whitening option. Firstly, the severity of the staining plays a vital role; more intense staining may require a professional treatment for optimal results. Secondly, your sensitivity levels are important, as some whitening agents can cause temporary sensitivity. Consider the convenience factor, as in-office whitening requires one or two visits, while at-home options require consistent use over several weeks. Lastly, your budget will influence your choice, as professional whitening is more expensive than at-home or over-the-counter alternatives. A dentist can discuss these aspects with you and help you make an informed decision, ensuring that you choose the right path to a brighter smile.
Consulting a Dentist
Before starting any teeth whitening treatment, it’s crucial to consult with a dentist in Clayton. A dentist can assess your oral health, identify any underlying issues (such as cavities or gum disease) that need to be addressed, and recommend the most suitable whitening option for your specific needs. They can also explain the potential risks and side effects, provide personalized advice, and monitor your progress throughout the treatment. This consultation ensures the safety and effectiveness of the whitening process, helping you achieve the best results while protecting your dental health. Consulting a dentist is the first step towards a confident and healthy smile.
Preparing for Teeth Whitening in Clayton

Preparing for teeth whitening in Clayton involves several steps to ensure the best possible results and minimize any potential complications. First, a thorough dental examination and cleaning are necessary to remove plaque and tartar, allowing the whitening agent to effectively reach the teeth. It’s also essential to address any existing dental issues, such as cavities or gum disease, before starting the whitening process. Your dentist may recommend avoiding certain foods and drinks (like coffee, tea, and red wine) that can stain your teeth during the treatment period. Following these preparations will help optimize the effectiveness of the whitening and promote a brighter, healthier smile. Additionally, your dentist can guide you on any pre-treatment considerations that align with your specific needs.
The Whitening Process Explained
The teeth whitening process varies depending on the chosen method, but it generally involves a few key steps. In the case of in-office whitening, the dentist will first protect your gums with a protective barrier. Then, a high-concentration bleaching agent is applied to the teeth and is often activated by a special light or laser. The process usually takes about an hour, and multiple sessions may be required to achieve the desired results. For at-home whitening, your dentist will provide you with custom-fitted trays and a bleaching gel, which you apply to the trays and wear for a specified amount of time. Over-the-counter products, such as whitening strips or toothpaste, are used according to the manufacturer’s instructions. During each of these processes, the bleaching agent breaks down the stains on the teeth, revealing a brighter and more radiant smile. This image shows a dentist applying a whitening gel to the teeth.
During the Treatment
During teeth whitening, whether in-office or at-home, it’s important to adhere to the instructions provided by your dentist or the product manufacturer. For in-office treatments, you will typically relax in the dental chair while the dentist applies the whitening agent and activates it. During this time, you may experience some temporary sensitivity, but the dentist will monitor your comfort levels and take steps to minimize any discomfort. For at-home treatments, wear the trays with the bleaching gel as instructed, typically for a few hours a day or overnight. Over-the-counter products require you to follow the guidelines on the packaging. Consistent use and adherence to the instructions are key to achieving the desired results. Also, during the treatment process, avoid foods and drinks that can stain your teeth and try to maintain good oral hygiene.
Post-Treatment Care and Maintenance

After undergoing teeth whitening in Clayton, following proper post-treatment care and maintenance is essential to preserve your bright, new smile and minimize any side effects. This includes avoiding or minimizing the consumption of staining foods and beverages (like coffee, tea, red wine, and dark sauces) for at least a couple of weeks. Maintaining good oral hygiene practices, such as brushing twice a day, flossing daily, and using a whitening toothpaste, can also help maintain the results. Regular dental check-ups and cleanings are also recommended to help keep your teeth bright and healthy. Proper care will help ensure that the whitening effects last for as long as possible and that your smile continues to shine.
Aftercare Instructions
After teeth whitening, specific aftercare instructions should be followed to maximize the results and protect your newly whitened teeth. Immediately after the treatment, it is recommended to avoid staining foods and drinks for the first 24 to 48 hours. During this time, the pores of your teeth are open, and they are more susceptible to staining. In the days and weeks that follow, continue to limit these foods and beverages as much as possible. Use a soft-bristled toothbrush and gentle brushing techniques to avoid irritating your gums. Follow your dentist’s recommendations for using a whitening toothpaste and other oral hygiene products. This image depicts aftercare and post-treatment tips to extend the life of your new smile.
Maintaining Your Bright Smile
Maintaining a bright smile requires consistent care and attention after teeth whitening. Regular dental check-ups and professional cleanings are crucial to remove any surface stains and maintain the results. You can use a whitening toothpaste, and consider using an at-home touch-up kit from your dentist to refresh your smile periodically. Avoiding or minimizing the consumption of staining foods and drinks is vital. Proper oral hygiene, including brushing and flossing daily, will also help prevent the build-up of stains and keep your teeth healthy. Following these practices can help you enjoy your sparkling smile for years to come. This image highlights practices for the maintenance of teeth whitening, including brushing, flossing, and regular dental checkups.
Potential Risks and Side Effects

While teeth whitening is generally considered a safe procedure, it’s essential to be aware of the potential risks and side effects. The most common side effect is temporary tooth sensitivity, which can occur during and after the treatment. Some individuals may also experience gum irritation or inflammation. In rare cases, the whitening agents can cause changes in the enamel of the teeth. Consulting with a dentist beforehand can help to assess your oral health and determine if teeth whitening is right for you and address any potential risks. Be sure to follow the dentist’s instructions carefully to minimize side effects and ensure a safe and successful outcome.
Sensitivity and Irritation
Tooth sensitivity is a common side effect of teeth whitening. It occurs because the bleaching agents can penetrate the enamel and reach the underlying dentin, causing temporary sensitivity to hot, cold, or sweet foods and drinks. Gum irritation is also a possible side effect, particularly if the bleaching agent comes into contact with the gums. Both of these side effects are usually temporary and subside within a few days or weeks after the treatment. Your dentist can provide advice and recommend products to reduce sensitivity, such as desensitizing toothpaste or fluoride treatments. Following aftercare instructions and practicing proper oral hygiene will also help manage these side effects and ensure a comfortable experience.
Managing Side Effects
Managing side effects after teeth whitening involves several strategies. For sensitivity, using a desensitizing toothpaste containing potassium nitrate or fluoride can help reduce discomfort. Avoid consuming extremely hot or cold foods and drinks immediately after the treatment. For gum irritation, it’s essential to ensure the whitening agent does not come into contact with your gums. If irritation occurs, gently rinse your mouth with water or a mild saltwater solution. Consult your dentist if side effects persist or worsen. Following all instructions carefully, practicing proper oral hygiene, and scheduling regular dental check-ups can help ensure a comfortable and successful teeth whitening experience. In the image, a patient gets a follow-up from his dentist.
Finding a Dentist in Clayton

Finding a qualified and experienced dentist in Clayton is the first step toward achieving a brighter, more confident smile. Look for a dentist who specializes in cosmetic dentistry and has a good reputation. Check online reviews and testimonials to gauge the experiences of other patients. It’s also important to ensure that the dentist uses the latest techniques and technologies and that they provide a comfortable and welcoming environment. Consider scheduling a consultation to discuss your needs, ask questions, and get a feel for the dentist’s expertise and approach. Choosing the right dentist is an investment in your smile and overall oral health, so take your time and make an informed decision.
Researching Dentists
When researching dentists in Clayton, several factors should be considered to make an informed decision. Start by checking their qualifications and experience, including their credentials and any specializations they may have. Read online reviews and testimonials to gain insights into other patients’ experiences with the dentist and their practice. Review their website to learn about the services offered, the technologies used, and the overall approach to patient care. Check if they offer teeth whitening and other cosmetic procedures. If possible, ask for referrals from friends or family. This detailed research will help you find a dentist who is well-suited to meet your needs and provide excellent care.
Scheduling a Consultation
Once you’ve narrowed down your options, schedule a consultation with the dentist in Clayton. This is an opportunity to meet the dentist, discuss your concerns, and assess their approach. During the consultation, you should ask questions about the teeth whitening process, the different options available, and the potential risks and side effects. The dentist should conduct a thorough examination of your teeth and gums to assess your oral health and determine if teeth whitening is right for you. This consultation provides an opportunity to build a rapport with the dentist and ensure you feel comfortable and confident in their care. Remember to ask about costs and payment options so you can make an informed decision.
