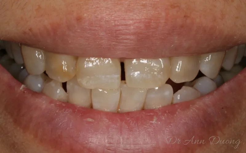
Understanding Tetracycline Stains and Teeth Whitening
Tetracycline stains present a unique challenge in the realm of teeth whitening. Unlike surface stains caused by coffee or tea, tetracycline stains originate from within the tooth structure. This internal staining results from the incorporation of tetracycline antibiotics during tooth development. The resulting discoloration can range from yellow to brown or even gray, often appearing in horizontal bands across the teeth. Effectively addressing these stains requires a comprehensive understanding of their origin and the most appropriate whitening methods. This article explores the best teeth whitening strategies tailored to combat tetracycline stains, providing insights into various treatment options and their effectiveness.
What Causes Tetracycline Stains?
Tetracycline stains are primarily caused by the use of tetracycline antibiotics during tooth development. This usually occurs in children, particularly those under the age of eight, or in pregnant women. When tetracycline is administered during this critical period, the drug binds to the calcium in developing teeth, leading to discoloration. The severity of the staining depends on the dosage, duration of exposure, and the specific type of tetracycline used. The antibiotic becomes incorporated into the enamel and dentin, creating a bond that results in intrinsic stains. This makes the stains more resistant to traditional whitening methods designed for extrinsic stains. The timing of the antibiotic use is crucial; earlier exposure during tooth formation leads to more pronounced staining.
How Tetracycline Affects Teeth

Tetracycline not only causes discoloration, but can also affect the overall structure of the teeth. The antibiotic can weaken the enamel, making teeth more susceptible to wear and tear, and increasing the risk of cavities. The presence of tetracycline within the tooth structure can also alter the way light reflects off the teeth. This contributes to the characteristic banding appearance often associated with these stains. Furthermore, the dentin, the layer beneath the enamel, can also be affected, contributing to the overall discoloration and the complexity of whitening treatments. Understanding these structural changes is important for appreciating why effective whitening for tetracycline stains can be more challenging than whitening for other types of discoloration.
Why Tetracycline Stains Are Challenging to Whiten
The intrinsic nature of tetracycline stains makes them particularly resistant to standard whitening treatments. Unlike extrinsic stains, which are located on the tooth’s surface, tetracycline stains are embedded within the tooth structure. This means that simple surface treatments, such as whitening toothpastes or strips, are often ineffective. The tetracycline molecules are deeply embedded in the enamel and dentin, requiring stronger and more penetrating treatments to break them down. This is why professional treatments, such as in-office bleaching and veneers, are often considered the most effective options. The complexity of the stains necessitates a tailored approach that considers the depth and severity of the discoloration, as well as the overall health of the teeth.
Top 5 Teeth Whitening Methods for Tetracycline Stains
Professional In-Office Bleaching

In-office bleaching is a popular and effective method for treating tetracycline stains. This procedure is performed by a dentist, who applies a high-concentration bleaching agent to the teeth. This is often followed by the use of a special light to enhance the bleaching process. The dentist carefully monitors the procedure, ensuring the safety of the patient and maximizing the whitening effect. Multiple sessions may be needed to achieve the desired results, depending on the severity of the staining. This professional approach offers the advantage of a controlled environment and the use of stronger whitening agents that are not available over the counter.
How In-Office Bleaching Works
In-office bleaching typically involves isolating the teeth, protecting the gums, and applying a concentrated hydrogen peroxide or carbamide peroxide solution. The dentist then uses a specialized light, such as a UV or LED light, to activate the bleaching agent. This process breaks down the stain-causing molecules within the tooth structure. The procedure is usually completed in one or more sessions, each lasting about an hour. The dentist will monitor the teeth throughout the process to assess the progress and ensure the safety of the patient. After the procedure, the teeth may be slightly sensitive for a short period.
Pros and Cons of In-Office Bleaching
- Pros Significant whitening results in a short time frame
- Pros Supervised by a dental professional, ensuring safety
- Pros Can address severe staining
- Cons Higher cost compared to other methods
- Cons Potential for temporary tooth sensitivity
- Cons May require multiple sessions
At-Home Whitening Trays

At-home whitening trays, prescribed and dispensed by a dentist, offer a more convenient and affordable alternative to in-office bleaching. These trays are custom-made to fit the patient’s teeth perfectly. They are filled with a lower-concentration bleaching agent than used in-office treatments. The patient wears the trays for a specified amount of time each day, typically for several weeks, to gradually whiten their teeth. This method allows for more prolonged exposure of the teeth to the whitening agent, which can be effective for tetracycline stains.
How At-Home Whitening Trays Work
The dentist takes impressions of the patient’s teeth to create custom-fit trays. The patient receives the trays along with the bleaching gel, which is applied to the trays before insertion. The trays are worn for a specified time each day, often overnight or for a few hours. The bleaching agent gradually penetrates the tooth enamel and breaks down the stain-causing molecules. The patient monitors the progress and can adjust the treatment duration under the guidance of their dentist. Regular check-ups are usually scheduled to assess the effectiveness of the treatment and address any sensitivity.
Pros and Cons of At-Home Whitening Trays
- Pros More affordable than in-office bleaching
- Pros Convenient for use at home
- Pros Custom-fit trays for optimal results
- Cons Results may take longer to achieve
- Cons Requires patient compliance
- Cons May cause some tooth sensitivity
Over-the-Counter Whitening Products

Over-the-counter (OTC) whitening products include whitening toothpastes and strips. These products are readily available in drugstores and supermarkets, offering an accessible option for teeth whitening. While they can be effective for mild surface stains, their effectiveness on tetracycline stains is often limited. These products typically contain lower concentrations of whitening agents compared to professional treatments. They are best used for maintaining a brighter smile rather than dramatically altering the color of severely stained teeth.
Whitening Toothpastes
Whitening toothpastes often contain mild abrasives and/or low concentrations of peroxide to remove surface stains. They are designed to remove extrinsic stains caused by food and drinks, such as coffee, tea, and tobacco. They are generally not effective for treating the intrinsic stains of tetracycline. Regular use can help maintain a brighter smile but typically do not provide significant whitening for deep, internal discoloration. The abrasive nature of some whitening toothpastes can potentially cause enamel erosion if used excessively.
Whitening Strips
Whitening strips are thin, flexible strips coated with a peroxide-based whitening agent. They are applied directly to the teeth for a specified amount of time. While more effective than whitening toothpastes, their ability to address tetracycline stains is still limited. The concentration of the whitening agent in OTC strips is lower compared to professional treatments. They may provide some improvement for mild to moderate staining, but are less likely to produce dramatic results for tetracycline-stained teeth. Consistent use over several weeks is often required to see any noticeable effect.
Pros and Cons of Over-the-Counter Products

- Pros Readily available and affordable
- Pros Easy to use at home
- Cons Limited effectiveness for tetracycline stains
- Cons May not produce significant results
- Cons Can cause some tooth sensitivity
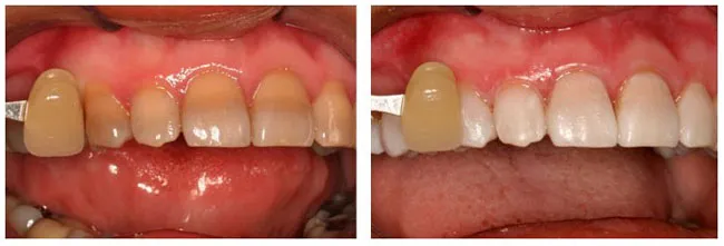
Porcelain Veneers
Porcelain veneers are a more invasive but often highly effective solution for tetracycline stains. These are thin, custom-made shells that are bonded to the front surface of the teeth. Veneers can completely mask the discoloration caused by tetracycline, providing a natural-looking, bright white smile. This option is particularly suitable for patients who have severe staining or other cosmetic concerns, such as chipped or misshapen teeth. The procedure usually requires removing a small amount of enamel from the tooth to accommodate the veneer.
How Porcelain Veneers Work
The process involves preparing the teeth by removing a thin layer of enamel. Impressions are then taken to create custom veneers. Temporary veneers are often placed while the permanent ones are being made. Once the permanent veneers are ready, they are bonded to the teeth using a special adhesive. The dentist carefully shapes and adjusts the veneers to ensure a natural and comfortable fit. Veneers are highly durable and resistant to staining, providing a long-lasting solution for tetracycline stains.
Pros and Cons of Porcelain Veneers

- Pros Highly effective in masking severe stains
- Pros Provides a natural-looking, bright smile
- Pros Durable and stain-resistant
- Cons More invasive procedure
- Cons Permanent alteration of tooth structure
- Cons Higher cost compared to other methods
Dental Bonding
Dental bonding is another cosmetic procedure that can be used to address tetracycline stains, particularly for less severe cases. In this procedure, a tooth-colored resin is applied to the teeth and hardened with a special light. Bonding can improve the appearance of teeth by covering stains, closing gaps, or changing the shape of the teeth. It is a less invasive option than veneers but may not be as effective for severe tetracycline stains. The durability of bonding is also lower compared to veneers, and it may require replacement over time.
How Dental Bonding Works
The dentist roughens the surface of the tooth and applies a conditioning liquid to help the bonding material adhere. The resin is then applied, shaped, and sculpted to the desired form. A special light is used to harden the resin. The dentist polishes the bonded tooth to match the surrounding teeth. This procedure is often completed in a single visit and can provide immediate results. While bonding is less expensive and less invasive than veneers, it is more prone to staining and chipping, especially with tetracycline-stained teeth.
Pros and Cons of Dental Bonding
- Pros Less invasive and less expensive than veneers
- Pros Can be completed in a single visit
- Cons Less durable than veneers
- Cons May stain over time
- Cons Not suitable for severe stains
Choosing the Right Method
The best teeth whitening method for tetracycline stains depends on the severity of the staining, individual preferences, and budget. Mild staining may be addressed with professional whitening treatments or at-home whitening trays. For more severe discoloration, porcelain veneers or dental bonding might be necessary. The choice should be made in consultation with a dentist who can assess the specific case and recommend the most appropriate treatment option. Careful consideration should be given to the pros and cons of each method and the long-term maintenance requirements.
Factors to Consider
Several factors influence the choice of teeth whitening method. The depth and intensity of the tetracycline stains are primary considerations. The patient’s oral health, including any existing dental work, is also important. The cost and the time commitment required for each treatment vary significantly. Additionally, the patient’s lifestyle, including their diet and oral hygiene habits, will affect the long-term results. It’s also crucial to consider the desired outcome and the realistic expectations for each method. Some methods may require multiple visits or ongoing maintenance to sustain the results.
Consulting with a Dentist
Consulting with a dentist is crucial before undertaking any teeth whitening treatment for tetracycline stains. A dentist can assess the severity of the stains, evaluate the overall health of the teeth and gums, and recommend the most appropriate treatment option. They can also discuss the potential risks and benefits of each method, and provide realistic expectations. Dentists are equipped to perform professional whitening procedures and can also prescribe custom-fit whitening trays. Regular dental check-ups are essential to monitor the results of the treatment and address any potential complications. Professional guidance ensures the best outcome and helps to maintain the health and appearance of the teeth.
Maintenance and Aftercare
Proper maintenance and aftercare are essential to prolong the results of teeth whitening treatments for tetracycline stains. Following the dentist’s instructions is critical. This includes using the prescribed whitening products as directed and attending regular dental check-ups. Maintaining good oral hygiene, including brushing twice a day and flossing daily, helps prevent staining. Avoiding certain foods and drinks, such as coffee, tea, red wine, and dark-colored berries, can also minimize staining. Regular professional cleanings are important to remove surface stains and maintain the brightness of the smile. The longevity of the whitening results depends on consistent care and attention.
Tips for Maintaining a Bright Smile
To maintain a bright smile after teeth whitening for tetracycline stains, several steps can be taken. Use a whitening toothpaste or mouthwash to help remove surface stains. Avoid or limit the consumption of staining foods and drinks, such as coffee, tea, red wine, and heavily pigmented sauces. Use a straw when drinking beverages that can stain the teeth, to minimize contact. Refrain from smoking and other tobacco products, as they can significantly discolor the teeth. Schedule regular dental check-ups and cleanings to maintain oral health and remove any surface stains. Following these tips can help prolong the results of the whitening treatment and keep your smile looking its best.
Avoiding Staining Foods and Drinks
Avoiding or limiting the consumption of staining foods and drinks is a crucial part of maintaining a white smile. Certain foods and beverages contain pigments that can easily stain the teeth. Coffee, tea, red wine, dark sodas, and berries are known culprits. Foods like soy sauce, balsamic vinegar, and curries can also contribute to staining. If you consume these items, rinse your mouth with water immediately afterward or brush your teeth to minimize the staining effect. Consider using a straw when drinking beverages to reduce contact with your teeth. A balanced diet with plenty of water and light-colored fruits and vegetables is recommended to maintain a bright smile.
Conclusion Achieving a Whiter Smile
Tetracycline stains present a unique challenge in teeth whitening. However, with the right approach, it is possible to achieve a brighter, more confident smile. Professional treatments, such as in-office bleaching and porcelain veneers, are often the most effective options for severe staining. At-home whitening trays can be a convenient and affordable alternative for some cases. Over-the-counter products may provide limited results. The best method depends on the severity of the staining, individual preferences, and budget. Consulting with a dentist is essential to determine the most appropriate treatment plan and ensure a healthy, beautiful smile. With proper care and maintenance, a whiter smile is achievable.
