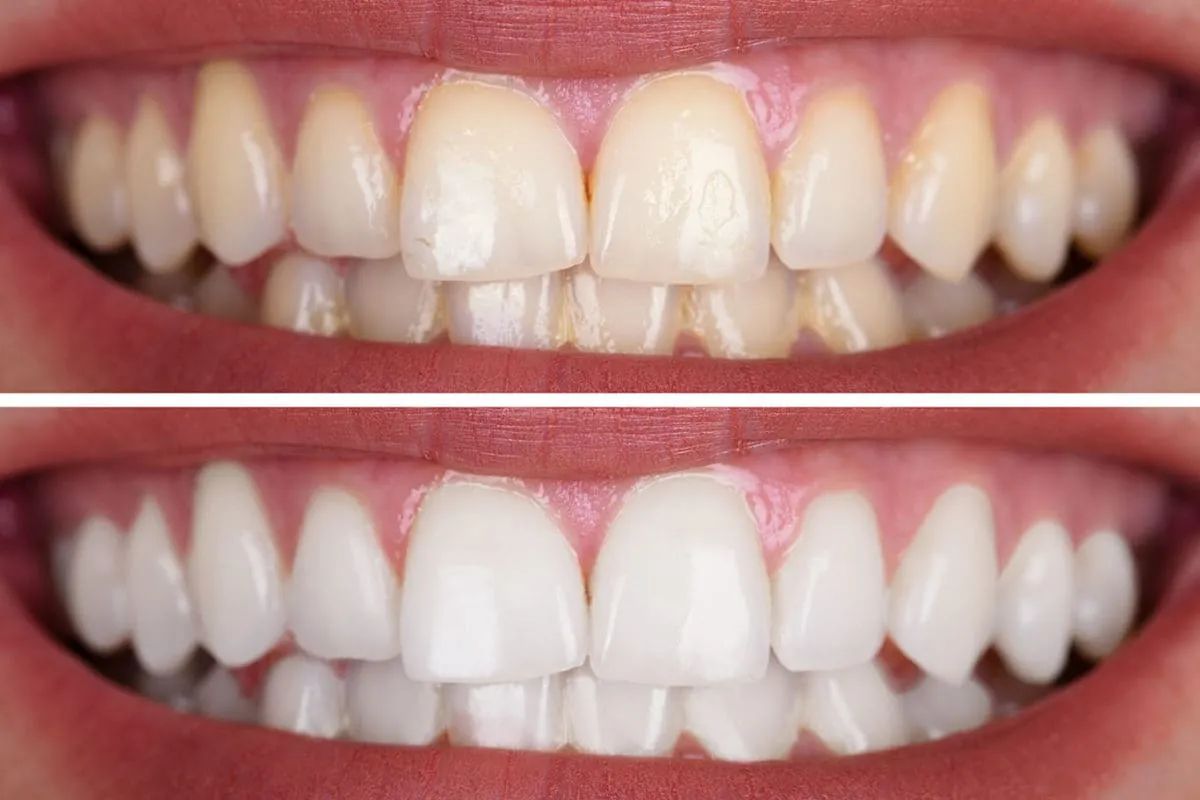
What is Teeth Whitening and Why Choose It
Teeth whitening is a popular cosmetic dental procedure designed to lighten the color of your teeth and remove stains and discoloration. It’s a non-invasive treatment that can dramatically improve the appearance of your smile, boosting your confidence and overall self-esteem. Choosing teeth whitening can be a significant step toward achieving a brighter, more youthful smile, often making you look years younger. The process works by using bleaching agents to break down the stains that have accumulated on the enamel of your teeth, resulting in a noticeably whiter appearance. The appeal of teeth whitening extends beyond just aesthetics; it can have a positive impact on your social and professional life.
The Benefits of Teeth Whitening
The benefits of teeth whitening extend far beyond just aesthetics. A brighter smile can have a profound impact on your overall well-being and how you interact with the world. The procedure can restore your confidence, improve your appearance, and even enhance your social interactions. With a rejuvenated smile, individuals often report feeling more self-assured and ready to take on new challenges. The improved appearance is often the first thing people notice, leading to a more positive self-image. Several factors contribute to teeth discoloration, including aging, genetics, and lifestyle choices such as smoking and consumption of staining foods and drinks like coffee and tea. Teeth whitening is a safe and effective way to counteract these effects.
Enhanced Confidence and Self-Esteem

One of the most significant advantages of teeth whitening is the boost it gives to your confidence and self-esteem. A bright, white smile can make you feel more attractive and approachable, leading to increased self-assurance in social and professional settings. People who are confident in their smiles tend to smile more often, creating a positive cycle of self-perception and interaction. This can lead to improved relationships, increased opportunities, and an overall sense of well-being. The simple act of whitening your teeth can have a ripple effect, transforming not just your smile, but also your outlook on life.
Improved Appearance and Smile
Beyond the psychological benefits, teeth whitening directly enhances your physical appearance. A whiter smile can make you look younger, healthier, and more vibrant. It can also complement your skin tone and overall facial features, creating a more polished and attractive look. Stained or discolored teeth can make you appear older or less healthy, while a bright, white smile can instantly revitalize your appearance. This improvement can lead to a positive first impression in social and professional situations, opening doors to new opportunities and experiences. With advancements in dental technology, achieving a perfect smile is more accessible than ever, with results that can last for an extended period with proper care.
Types of Teeth Whitening Available in Auckland
In Auckland, you have various options for teeth whitening, each with its own benefits and suitability depending on your needs and preferences. The two main categories are professional in-office whitening and take-home kits. Both methods use bleaching agents to lighten the teeth, but they differ in the concentration of the bleaching agent, the process involved, and the level of supervision from a dental professional. Understanding the different options available will help you make an informed decision and achieve the best possible results for your smile. Consulting with an Auckland dentist is essential to determine which method is most appropriate for your specific situation and to ensure that the procedure is safe and effective.
Professional In-Office Teeth Whitening

Professional in-office teeth whitening, also known as chairside bleaching, is performed by a dentist in a clinic setting. This method involves applying a high-concentration bleaching agent to your teeth, which is then activated by a special light or laser. The entire procedure typically takes about an hour and provides immediate results. The dentist will first protect your gums and soft tissues before applying the whitening solution. This process is usually more effective than take-home kits due to the stronger bleaching agents used. In-office whitening is ideal for those who want quick and dramatic results and are looking for professional supervision throughout the process. The dentist monitors the process, ensuring the safety and effectiveness of the treatment. This makes it the safest option, especially for individuals with sensitive teeth or existing dental work.
Take-Home Teeth Whitening Kits
Take-home teeth whitening kits offer a more convenient and affordable option for brightening your smile. These kits typically include custom-fitted trays and a lower-concentration bleaching gel that you apply to your teeth at home. The dentist will take impressions of your teeth to create the custom trays, ensuring a perfect fit for optimal results and to minimize any potential sensitivity. You wear the trays for a specified period each day, typically for a few hours or overnight, depending on the product and your dentist’s instructions. The process usually takes a few weeks to achieve the desired results, with the advantage of gradually whitening your teeth at your convenience. Take-home kits are a great option for those seeking a more gradual approach, are on a budget, or want to whiten their teeth in the comfort of their own home. However, it’s essential to follow the dentist’s instructions carefully to achieve the best and safest results.
Choosing the Right Auckland Dentist
Selecting the right dentist in Auckland is crucial for a successful teeth whitening experience. The dentist’s expertise, experience, and the quality of the clinic all contribute to the final outcome of the procedure. Researching and choosing a dentist who is skilled in cosmetic dentistry ensures the best results, minimizing potential risks and maximizing your satisfaction. Take the time to explore different options and consider factors like experience, patient reviews, and the specific services they offer. A good dentist will take the time to understand your needs and provide personalized care, ensuring the procedure is tailored to your unique circumstances. This careful selection process will not only improve the effectiveness of the teeth whitening but also contribute to your overall oral health.
Finding a Qualified and Experienced Dentist

When choosing a dentist for teeth whitening in Auckland, it’s essential to prioritize qualifications and experience. Look for a dentist who is registered with the Dental Council of New Zealand and has a proven track record in cosmetic dentistry. Check if they have undergone any additional training or certifications in teeth whitening or cosmetic procedures. Experience matters, as a dentist with extensive experience will be more adept at assessing your needs, selecting the right whitening method, and ensuring the procedure is carried out safely and effectively. Reviewing the dentist’s before-and-after photos of previous teeth whitening treatments can give you a good sense of their skill and the results they can achieve. Choosing a highly qualified and experienced dentist is an investment in your smile and overall oral health.
Reading Reviews and Checking Credentials
Before committing to a teeth whitening treatment, it’s beneficial to read online reviews and testimonials from previous patients. These reviews can provide valuable insights into the dentist’s professionalism, the quality of care they provide, and the overall patient experience. Check reputable websites like Google Reviews, Facebook, and other review platforms to gather information. Pay attention to comments about the dentist’s communication skills, the clinic’s cleanliness, and the results patients achieved. Alongside reviews, ensure the dentist is fully credentialed and licensed to practice dentistry in New Zealand. Verify their registration with the Dental Council of New Zealand. All of these things combine to give you a complete picture of the dentist and their practice. Careful consideration of these factors can lead to a positive experience and satisfying results.
The Teeth Whitening Procedure
Understanding the teeth whitening procedure is essential to manage your expectations and prepare for the process. The procedure typically involves an initial consultation and assessment, followed by the actual whitening process. Knowing what to expect at each stage helps you feel more comfortable and confident throughout the treatment. By understanding the steps involved, you can also actively participate in the decision-making process and provide the dentist with any relevant information about your oral health. From the initial assessment to the final results, each step plays a crucial role in achieving a brighter, healthier smile. The dentist and their team will ensure you are fully informed and comfortable during every stage, which is paramount for a positive experience.
Initial Consultation and Assessment

The initial consultation is a critical step in the teeth whitening process. During this appointment, your dentist will assess your overall oral health, discuss your goals for teeth whitening, and determine if you are a suitable candidate. They will examine your teeth for any existing dental work, such as fillings, crowns, or veneers, as these may not whiten in the same way as natural teeth. Your dentist will also check for any signs of gum disease or other oral health issues that need to be addressed before proceeding with whitening. This consultation includes taking photographs of your teeth to record the initial shade for comparison after the whitening process. It’s the perfect opportunity to ask questions, voice any concerns, and learn more about the different whitening options available and what to expect.
The Whitening Process Step-by-Step
The teeth whitening process varies depending on the method chosen, but generally, it involves applying a whitening agent to the teeth. For in-office whitening, the dentist will apply a protective gel to your gums and then apply a high-concentration bleaching agent to your teeth. A special light or laser is then used to activate the bleaching agent, accelerating the whitening process. This process is repeated multiple times during the appointment, with each session lasting about 15-20 minutes. With take-home kits, you apply the bleaching gel to custom-fitted trays and wear them for a specific amount of time, as directed by your dentist. Regardless of the method, the dentist will provide detailed instructions and monitor the results. This step-by-step approach ensures safety and optimal outcomes. Proper post-treatment care is essential to maintain the brightness of your smile.
Aftercare Tips for Maintaining Your Bright Smile
Following proper aftercare instructions is essential to prolong the effects of your teeth whitening treatment. Maintaining your bright smile involves making some lifestyle adjustments and adopting good oral hygiene practices. This includes avoiding certain foods and drinks, maintaining regular dental check-ups, and continuing to practice good oral hygiene. Proper aftercare ensures that the whitening results last longer, and your teeth stay healthy and vibrant. Consistency and diligence in following these guidelines will help you enjoy your brighter smile for an extended period. Adhering to these practices allows you to preserve your investment and enjoy your beautiful, white teeth for years to come. Remember that these tips are not just for aesthetics but also for your oral health.
Avoiding Staining Foods and Drinks

One of the most important steps in maintaining your bright smile is to avoid or limit the consumption of staining foods and drinks. These include coffee, tea, red wine, and dark-colored sodas, which contain pigments that can stain your teeth over time. Certain foods, such as berries, soy sauce, and curries, can also contribute to staining. If you consume these items, it’s crucial to rinse your mouth with water or brush your teeth soon after to minimize their impact. Consider using a straw when drinking beverages to reduce contact with your teeth. Making conscious choices about your diet can make a significant difference in preserving your teeth whitening results, helping you enjoy your brighter smile for a longer period. The long-term effects of these choices will have a positive impact on your oral health.
Regular Dental Check-ups and Cleanings
Regular dental check-ups and cleanings are essential components of maintaining your oral health and the brightness of your teeth. These visits allow your dentist to monitor your teeth and gums for any signs of problems, such as cavities or gum disease. During a cleaning, a dental hygienist will remove plaque and tartar buildup, which can dull your teeth and contribute to discoloration. Professional cleanings also help remove surface stains that can be difficult to eliminate with brushing alone. Schedule these visits at least twice a year, or as recommended by your dentist, to ensure that your teeth remain clean, healthy, and bright. Regular check-ups and cleanings are a small but critical part of your oral hygiene routine that will help preserve the longevity of your teeth whitening treatment.
Cost of Teeth Whitening in Auckland
The cost of teeth whitening in Auckland varies depending on the method, the dentist’s fees, and the specific treatment plan. Understanding the factors that influence the price can help you plan your budget and make an informed decision. It’s important to remember that the cost should be considered in relation to the long-term benefits, including the improved appearance and increased confidence that teeth whitening can provide. When comparing prices, consider the dentist’s experience, the quality of the materials used, and the overall value of the service. Look for a balance between cost and quality. A well-informed approach ensures that you can get a brighter smile without breaking the bank. The cost of teeth whitening should be regarded as an investment in your overall well-being.
Factors Influencing the Price
Several factors can influence the cost of teeth whitening in Auckland. The type of whitening treatment is a primary determinant, with in-office whitening generally being more expensive than take-home kits due to the use of stronger bleaching agents and professional supervision. The experience and reputation of the dentist can also affect the price; dentists with more experience and a strong reputation may charge more for their services. The complexity of the treatment, such as the number of teeth being whitened and the presence of any existing dental work, can also influence the cost. Additional factors include the clinic’s location, the technology used, and any add-on services offered. Inquire about the total costs upfront, including consultation fees and aftercare instructions. Considering these factors helps you understand the price and make an informed decision.
Payment Options and Insurance
When considering teeth whitening, it’s essential to explore payment options and determine if your dental insurance covers any part of the cost. Many dental clinics in Auckland offer various payment plans, allowing you to spread the cost over several months. Inquire about these options during your consultation to determine the best solution for your budget. While teeth whitening is typically considered a cosmetic procedure, some insurance plans may cover a portion of the cost, especially if the treatment is deemed medically necessary. Contact your insurance provider to determine your coverage and any limitations. Be sure to discuss all payment options with your dentist to ensure the process fits your financial needs. This approach helps you to receive treatment while managing financial implications.
Frequently Asked Questions about Teeth Whitening
It’s common to have questions about teeth whitening, especially if you’re considering the procedure for the first time. Understanding the answers to some of the most frequently asked questions can help you feel more confident and prepared. From the safety of the procedure to the expected results, the following information can provide clarity. Knowing the facts will empower you to make informed decisions and ensures a smoother, more satisfying experience. Consulting your dentist is always best. However, some of these questions can provide a helpful starting point when thinking about your treatment.
Here are a few common questions
- Is teeth whitening safe?
- How long does teeth whitening last?
- Does teeth whitening cause sensitivity?
- Are there any side effects of teeth whitening?
- Can anyone get their teeth whitened?
